成人の方の
矯正治療について
永久歯列期の矯正治療
顎の成長がほぼ完了し、永久歯が生えそろった状態です。この時期には、歯並びやかみ合わせの最終的な調整を行い、機能的で美しい歯列を維持することが重要になります。
かみ合わせの不調和が原因で顎関節や筋肉に負担がかかる場合、また、歯並びが発音や咀嚼に影響を与えている場合には、適切な治療を行うことで長期的な口腔の健康を守ることができます。
治療に使用する装置
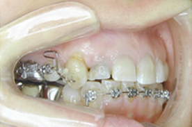
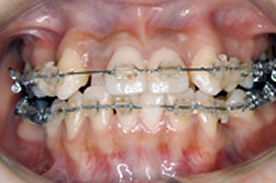
マルチブラケット装置
(歯の表につける装置)
マルチブラケット矯正は、歯の表側に小さな装置(ブラケット)を取り付け、ワイヤーを通して歯を動かす一般的な矯正方法です。幅広い症例に対応でき、確実に歯を整えることが可能です。金属製のブラケットのほかに、目立ちにくいセラミック製のブラケットも選択できます。
リンガルブラケット矯正装置(歯の裏につける装置)
リンガルブラケット矯正は、歯の裏側(舌側)に装置を装着することで、外からは装置がほとんど見えない矯正方法です。通常のワイヤー矯正と同じく、さまざまな歯並びに対応できます。見た目を気にする方に適していますが、舌に装置が当たることで違和感を感じることがあります。
マウスピース型矯正装置
マウスピース矯正は、透明なマウスピースを装着し、段階的に歯を動かしていく矯正方法です。取り外しが可能なため、食事や歯磨きがしやすく、矯正中でも快適に過ごせます。ただし、1日20時間以上の装着が必要で、対応できる症例が限られています。
歯科矯正用アンカースクリュー
歯を動かす時の支えとして直径1.5㎜位、長さ6~8㎜のインプラントを用いる事があります。 症状やご希望に応じて使う事も有ります。治療を急がれている方や、中にはインプラントでしか治療が困難な場合もあり、検査を行った上でインプラントの形や位置を決めて治療を行います。また矯正治療後ははずすため、お口の中に傷が残る事もありません。
※「インビザライン」について
・完成物薬機法対象外の矯正歯科装置であり、医薬品副作用被害救済制度の対象外となる場合があります。
・マウスピース型矯正装置(インビザライン)は医薬品医療機器等法(薬機法)の承認を受けていない未承認医薬品です。
・マウスピース型矯正装置(インビザライン)は米国アライン・テクノロジー社の製品であり、インビザライン・ジャパン株式会社を介して入手しています。
・国内にもマウスピース型矯正装置として医薬品医療機器等法(薬機法)の承認を受けているものは複数存在します。
・マウスピース型矯正装置(インビザライン)はFDA(米国食品医薬品局)により医療機器として認証を受けています。薬品副作用被害救済制度の対象外となる場合があります。
治療後に使用する装置
全体矯正
歯並びや咬み合わせを根本から整え、美しい口元と健康的な咬み合わせを目指す矯正治療です。
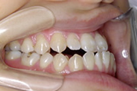
治療例:上顎前突(出っ歯)
Before
After
| 主訴 | 前歯でものが噛めない。食べ物が飛び出てくる |
|---|---|
| 診断名あるいは主な症状 | 骨格性上顎前突 |
| 年齢 | 26歳 |
| 治療に用いた主な装置 | マルチブラケット装置(金属)、ホールディングアーチ |
| 抜歯部位 | 上顎左右第一小臼歯 |
| 一般的な治療期間 | 2年〜3年(保定期間を除く) |
| 一般的な通院回数 | 24回〜36回(保定期間を除く) |
| 一般的な治療費 | 約770,000円〜990,000円(税込) |
| リスク副作用 | 治療を急ぐと歯根吸収の危険性 |

効果
- ・発音がはっきりし、食べ物をしっかり噛めるようになりました。
- ・歯が磨きやすくなり、歯周病や口臭を防ぎやすくなりました。
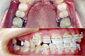
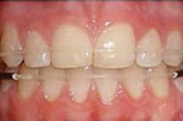
治療例:上顎側切歯舌側転位(前歯のガタガタ)
Before
After
Before
After
| 主訴 | 舌を噛んでしまう。サ行がうまく話せない。 |
|---|---|
| 診断名あるいは主な症状 | 上顎左右側切歯の舌側転位を伴う叢生 |
| 年齢 | 19歳 |
| 治療に用いた主な装置 | マルチブラケット装置(白ブラケット)、上顎リンガルアーチ |
| 抜歯部位 | 上顎左右第一小臼歯、下顎右側第二小臼歯、下顎左側第一小臼歯 |
| 一般的な治療期間 | 2年〜3年(保定期間を除く) |
| 一般的な通院回数 | 24回〜36回(保定期間を除く) |
| 一般的な治療費 | 約770,000円〜990,000円(税込) |
| リスク副作用 | 歯根吸収が起こる場合がある |

効果
- ・歯磨きがしやすくなり虫歯や歯周病になりにくくなりました。
- ・発音や咬みやすさ等機能的に改善しました。
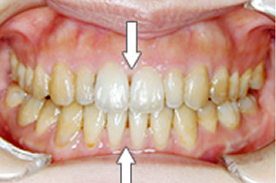
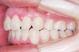
治療例:下顎前突(受け口・手術なし)
Before
After
| 主訴 | 反対咬み |
|---|---|
| 診断名あるいは主な症状 | 歯牙歯槽性の前歯部反対咬合 |
| 年齢 | 28歳 |
| 治療に用いた主な装置 | マルチブラケット装置(金属)、上顎リンガルアーチ |
| 抜歯部位 | 下顎左右第一小臼歯 |
| 一般的な治療期間 | 2年〜3年(保定期間を除く) |
| 一般的な通院回数 | 24回〜36回(保定期間を除く) |
| 一般的な治療費 | 約770,000円〜990,000円(税込) |
| リスク副作用 | 歯根吸収が起こる場合がある |

効果
- ・発音や咬みやすさ等機能的に改善しました。
- ・手術をせずに矯正のみで改善しました。
治療例:下顎前突外科矯正(受け口の手術)
Before
After
Before
After
| 主訴 | 下顎が出ている |
|---|---|
| 診断名あるいは主な症状 | 骨格性の前歯部反対咬合 |
| 年齢 | 21歳 |
| 治療に用いた主な装置 | マルチブラケット装置、外科手術 |
| 抜歯部位 | 上顎左右第二小臼歯、上下顎左右智歯 |
| 一般的な治療期間 | 2年半〜3年半(保定期間を除く) |
| 一般的な通院回数 | 30回〜42回(保定期間を除く) |
| 一般的な治療費 | 約385,000円(税込・健康保険適用) |
| リスク副作用 | 歯根吸収が起こる場合がある、下唇などにしびれが残る場合がある |

効果
- ・発音や咬みやすさ等機能的に改善しました。
- ・咬み合わせを目的とした矯正なので健康保険が適応されました。
治療例:正中のずれ外科矯正(あごの歪みの手術)
Before
After
| 主訴 | 顎の歪み |
|---|---|
| 診断名あるいは主な症状 | 下顎の右側への骨格性偏位 |
| 年齢 | 26歳 |
| 治療に用いた主な装置 | マルチブラケット装置、外科手術 |
| 抜歯部位 | 下顎左右智歯、下顎左右第一小臼歯(初診時既に抜歯済みであった) |
| 一般的な治療期間 | 2年半〜3年半(保定期間を除く) |
| 一般的な通院回数 | 30回〜42回(保定期間を除く) |
| 一般的な治療費 | 約385,000円(税込・健康保険適用) |
| リスク副作用 | 歯根吸収が起こる場合がある、下唇などにしびれが残る場合がある |

効果
- ・顔やあごの歪みが改善されました。
- ・発音や咬みやすさ等機能的に改善しました。
- ・咬み合わせを目的とした矯正なので健康保険が適応されます。
- ・顎関節症(あごの関節の病気)の予防になります。
部分矯正
気になる歯並びだけを整えたい方や、短期間で治療を進めたい方におすすめの矯正治療です。
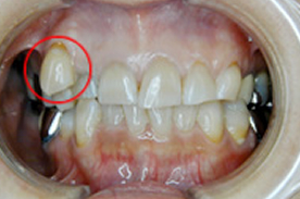
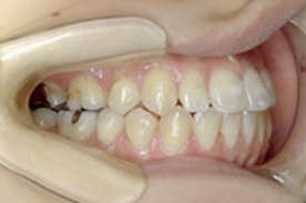
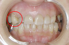
治療例:犬歯唇側転位(八重歯)
Before
After
| 主訴 | 八重歯。口唇に当たって痛い。 |
|---|---|
| 診断名あるいは主な症状 | 右側犬歯唇側転位、下顎前歯部叢生 |
| 年齢 | 32歳 |
| 治療に用いた主な装置 | 部分的なブラケット装置、上顎リンガルアーチ |
| 抜歯部位 | 上顎右側第一小臼歯 |
| 一般的な治療期間 | 1年〜1年半(保定期間を除く) |
| 一般的な通院回数 | 12回〜18回(保定期間を除く) |
| 一般的な治療費 | 約330,000円〜440,000円(税込) |
| リスク副作用 | 歯根吸収が起こる場合がある |

効果
- ・歯磨きがしやすくなり虫歯や歯周病になりにくくなりました。
- ・唇を怪我しにくくなりました。
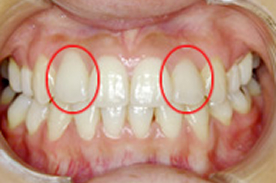
治療例:一歯反対咬合(前歯反対咬み)
Before
After
| 主訴 | 右上前歯が気になる。舌や唇をよく噛んでしまう。 |
|---|---|
| 診断名あるいは主な症状 | 右側犬歯唇側転位、上下顎前歯部叢生 |
| 年齢 | 22歳 |
| 治療に用いた主な装置 | ブラケット装置(白ブラケット)、上顎リンガルアーチ |
| 抜歯部位 | 無し |
| 一般的な治療期間 | 1年〜1年半(保定期間を除く) |
| 一般的な通院回数 | 12回〜18回(保定期間を除く) |
| 一般的な治療費 | 約275,000円〜440,000円(税込) |
| リスク副作用 | 歯根吸収が起こる場合がある |

効果
- ・歯磨きがしやすくなり虫歯や歯周病になりにくくなりました。
- ・咬みやすくなり1本の歯にかかる負担が減り歯の寿命がのびました。
治療例:一歯前突(前歯が1本だけ出ている)
Before
After
| 主訴 | 前歯がねじれている |
|---|---|
| 診断名あるいは主な症状 | 左側中切歯の遠心捻転 |
| 年齢 | 20歳 |
| 治療に用いた主な装置 | ブラケット装置(白ブラケット) |
| 抜歯部位 | 無し |
| 一般的な治療期間 | 1年〜1年半(保定期間を除く) |
| 一般的な通院回数 | 12回〜18回(保定期間を除く) |
| 一般的な治療費 | 約275,000円〜440,000円(税込) |
| リスク副作用 | 少し歯を削って小さくした |

効果
- ・口元がすっきりしました。
- ・歯磨きがしやすくなり虫歯や歯周病になりにくくなりました。
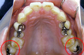
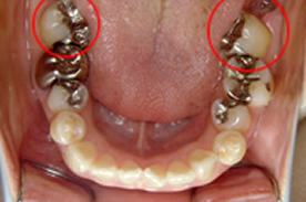
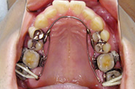
治療例:臼歯部鋏状咬合(奥歯の咬み合わせ)
Before
After
Before
After
| 主訴 | 奥歯がうまく咬み合ってないとかかりつけの歯医者さんに言われた。 |
|---|---|
| 診断名あるいは主な症状 | 両側臼歯部鋏状咬合(※例1・2は同一人物) |
| 年齢 | 34歳 |
| 治療に用いた主な装置 | リンガルアーチ、部分的にブラケット装置 |
| 抜歯部位 | 無し |
| 一般的な治療期間 | 1年半〜2年(保定期間を除く) |
| 一般的な通院回数 | 18回〜24回(保定期間を除く) |
| 一般的な治療費 | 約275,000円〜440,000円(税込)(例1と例2合わせて) |
| リスク副作用 | 治療中奥歯が噛みにくくなる |

効果
- ・奥歯は大きく力がかかるので咬み合わせが良くなり歯の寿命がのびました。
- ・歯磨きがしやすくなり虫歯や歯周病になりにくくなりました。
