お子さまの
矯正治療について
乳歯列~混合歯列期の矯正治療
顎の成長期を利用して骨格的な左右のずれ、前後のずれ、大きさ等を改善し良いかみ合わせの基礎を作ります。悪習癖が原因で歯並びが悪い場合、また、歯並びが原因で発音障害が出ている場合などは早期開始が良いでしょう。
子供の矯正の開始時期の
目安について
| 反対咳合(うけ口) | 3歳以降、上の前歯(永久歯)が生えてきた時期(応相談) |
|---|---|
| 出っ歯 | 8~10歳位 |
| 下の顎の左右のずれ | 5~8歳位(見つかり次第)、歯の萌え変わり時期に治すのが望ましい |
| 顎の骨が小さくて、永久歯の萌える隙間がない | 7歳位 |
| 悪習癖・歯数異常・その他 | 2歳以降、3歳位のうち |
※例外として、取り外し式装置で3~4歳からうけ口の治療を開始され、早期に治療が完了した方もおられますので、
一度無料相談を受けられる事をお勧めします。
一度無料相談を受けられる事をお勧めします。
治療に使用する装置
歯列矯正用咬合誘導装置
(T4K、K1)
成長する歯の誘導や舌の癖等を改善する為の装置です
歯列矯正用咬合誘導装置
(ムーシールド)
主に反対咬合に使用します
ヘッドギア
上の奥歯を後ろへひっぱる為の装置です
プロトラクター
上の歯を前方へひっぱる為の装置です
リンガルアーチ
歯の内側から歯を押し出したり固定する装置です
部分的ブラケット装置
永久歯がきれいに萌え揃うまでに部分的に着ける装置です
FKO
上下の歯のバランスを整える装置です
拡大床(ネジタイプ)
横幅を広げる為の装置です(取り外し式)
拡大床
(ワイヤータイプ)
横幅を広げる為の装置です(取り外し式)
クオードへリックス
(緩徐拡大装置)
横幅を広げる為の装置です(固定式)
マウスピース型矯正装置
透明なマウスピースを装着し、段階的に歯を動かしていく装置です
治療例
歯並びや噛み合わせを根本から整え、美しい口元と健康的な噛み合わせを目指す矯正治療です。
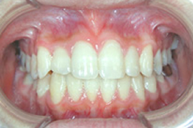
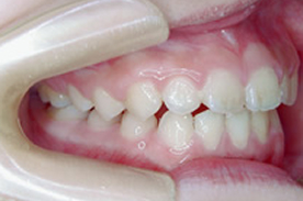
治療例:上顎前突(出っ歯)
Before
After
| 主訴 | 出っ歯 |
|---|---|
| 診断名あるいは主な症状 | 上顎前突 |
| 年齢 | 9歳 |
| 治療に用いた主な装置 | 機能的顎矯正装置(F.K.O.)、ヘッドギア |
| 抜歯部位 | 無し |
| 一般的な治療期間 | 2年〜3年(保定期間を除く) |
| 一般的な通院回数 | 24回〜36回(保定期間を除く) |
| 一般的な治療費 | 約330,000円〜495,000円(税込) |
| リスク副作用 | 少々寝苦しいことあり |

効果
- ・唇が閉じやすくなり見栄えが良くなりました。
- ・発音や咬みやすさ等機能的に改善しました。
- ・歯周病や口臭の予防になります。
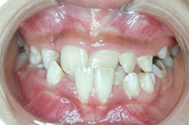
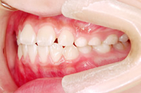
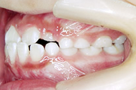
治療例:叢生(ガタガタ)
Before
After
| 主訴 | 前歯がガタガタ、下の前歯がグラグラする |
|---|---|
| 診断名あるいは主な症状 | 叢生を伴う歯牙歯槽性前歯部反対咬合 |
| 年齢 | 8歳 |
| 治療に用いた主な装置 | マルチブラケット装置(金属)、リンガルアーチ |
| 抜歯部位 | 無し |
| 一般的な治療期間 | 3年〜6年(保定期間を除く) |
| 一般的な通院回数 | 36回〜50回(保定期間を除く) |
| 一般的な治療費 | 約770,000円〜990,000円(税込) |
| リスク副作用 | 歯根吸収が起こる場合がある、長期にわたる治療が必要 |

効果
- ・歯磨きがしやすくなり虫歯や歯周病になりにくくなりました。
- ・発音や咬みやすさ等機能的に改善しました。
治療例:下顎前突(受け口)固定式装置
Before
After
| 主訴 | 反対咬み |
|---|---|
| 診断名あるいは主な症状 | 歯牙歯槽性の前歯部反対咬合 |
| 年齢 | 9歳 |
| 治療に用いた主な装置 | 上顎リンガルアーチ、下顎前歯部ブラケット装置(金属) |
| 抜歯部位 | 無し |
| 一般的な治療期間 | 2年〜3年(保定期間を除く) |
| 一般的な通院回数 | 15回〜25回(保定期間を除く) |
| 一般的な治療費 | 約220,000円〜544,500円(税込) |
| リスク副作用 | 歯根吸収が起こる場合がある、噛み合わせによってはこの方法で治せない場合がある |

効果
- ・発音や咬みやすさ等機能的に改善しました。
- ・固定式装置により計画的に治療がすすめられます。
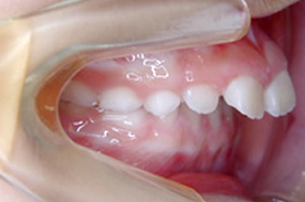
治療例:下顎前突(受け口)取り外し式装置
Before
After
| 主訴 | 前歯が逆さ咬み |
|---|---|
| 診断名あるいは主な症状 | 歯牙歯槽性の前歯部反対咬合 |
| 年齢 | 7歳 |
| 治療に用いた主な装置 | 歯列矯正用咬合誘導装置(ムーシールド) |
| 抜歯部位 | 無し |
| 一般的な治療期間 | 1年半〜2年(保定期間を除く) |
| 一般的な通院回数 | 12回〜18回(保定期間を除く) |
| 一般的な治療費 | 約220,000円〜385,000円(税込) |
| リスク副作用 | 長期にわたり根気強く装着する必要がある、噛み合わせによっては治せない場合がある |

効果
- ・発音や咬みやすさ等機能的に改善しました。
- ・取り外し式装置なので歯磨きはしやすいです。
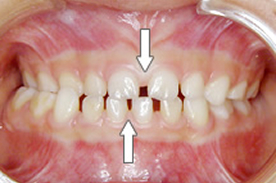
治療例:正中のずれ(あごの歪み)
Before
After
| 主訴 | 上の歯の真ん中と下の歯の真ん中が合ってない |
|---|---|
| 診断名あるいは主な症状 | 下顎の右側への偏位症例 |
| 年齢 | 5歳 |
| 治療に用いた主な装置 | 緩徐拡大装置(取り外し可能タイプ) |
| 抜歯部位 | 無し |
| 一般的な治療期間 | 1年半〜2年(保定期間を除く) |
| 一般的な通院回数 | 12回〜18回(保定期間を除く) |
| 一般的な治療費 | 約220,000円〜385,000円(税込) |
| リスク副作用 | 食いしばりが強いと装置が壊れる場合がある、夜中に無意識に外してしまう場合がある |

効果
- ・成長段階で顔の歪みを最小限におさえられました。
- ・顎関節症(あごの関節の病気)の予防になります。
- ・左右の頬の筋肉のバランスや咬みやすさ等の機能的な改善。

