治療中の虫歯対策
矯正治療している間は虫歯になりやすい?
虫歯の原因は糖分と磨き残しです。矯正装置の中でも歯の表面に装着するタイプの装置は、デコボコしていて磨き残しが生じやすい場所が存在します。
そこを抑えて、しっかりブラッシングをすれば、虫歯を防ぐことが出来ます。 当院では経験豊富なスタッフが徹底的にブラッシング指導します。
便利グッズのご紹介
歯垢染色液
歯垢が赤く染まって、視覚的に見やすくなります。
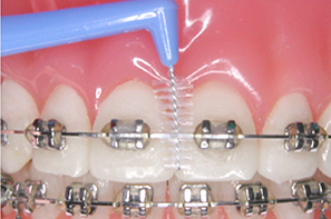
歯間ブラシ
歯の間に詰まったものを取る歯ブラシ。歯の根元の虫歯予防にも。
ペンタイプ 歯ブラシ
装置の周りの歯垢を清掃する歯ブラシ。矯正歯科では必需品です。
夏場のスポーツドリンクには
注意が必要
虫歯の原因は虫歯菌が好む糖分の摂取によるものが多いです。
砂糖、ブドウ糖、果糖、乳糖…食品の中には多くの糖分が含まれていますが、
特に砂糖、ブドウ糖は虫歯の発生率が高いことが知られており、
長時間磨かないとすぐに虫歯が出来てしまいます。
実は虫歯を作ってしまうのは、圧倒的にお子さんが多いのです。
歯ブラシを嫌がったり、上手に磨いていなかったり、疲れて歯ブラシもせずに寝てしまったり…そこで、特にブラッシングの苦手なお子様には、
ブラッシングコンテスト実施中!
スタッフと一緒に楽しくブラッシングをしましょう♪
それでも虫歯が心配という方には…
すばり、取り外し式の装置をおすすめします。
また、固定式の装置の中にも虫歯になりにくい
装置が有ります。
実は、歯の裏の装置は常に唾液に浸されており、
唾液の緩衝作用で表の装置より
虫歯になりにくいのです。
お子様用
取り外し式の装置
(T4K、K1)
(インビザライン ※)
比較的虫歯になりにくい固定式装置
大人用
リンガルブラケット矯正装置
(インビザライン ※)
※「インビザライン」について
・完成物薬機法対象外の矯正歯科装置であり、医薬品副作用被害救済制度の対象外となる場合があります。
・マウスピース型矯正装置(インビザライン)は医薬品医療機器等法(薬機法)の承認を受けていない未承認医薬品です。
・マウスピース型矯正装置(インビザライン)は米国アライン・テクノロジー社の製品であり、インビザライン・ジャパン株式会社を介して入手しています。
・国内にもマウスピース型矯正装置として医薬品医療機器等法(薬機法)の承認を受けているものは複数存在します。
・マウスピース型矯正装置(インビザライン)はFDA(米国食品医薬品局)により医療機器として認証を受けています。薬品副作用被害救済制度の対象外となる場合があります。
