目立たない
矯正治療装置
他人に矯正装置を見られたくないというご相談はよく寄せられます。
矯正治療の場合、一つの装置だけで治療が完結することもありますが、
様々なタイプの装置を時期によって使い分けることもあります。
また、それぞれの装置には症例によって向き不向きがあり、細かい使い分けが必要となります。
以下の装置を参考にしていただき、細かい特徴についてはご相談時にお尋ねください。
目立たない矯正装置一覧
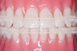
表側の装置
白ブラケット+金属ワイヤー
白ブラケット+白ワイヤー
マウスピース型矯正装置
(インビザライン ※)
裏側の装置
リンガルブラケット矯正装置
(クリッピーL)
(クリッピーL)
※「インビザライン」について
・完成物薬機法対象外の矯正歯科装置であり、医薬品副作用被害救済制度の対象外となる場合があります。
・マウスピース型矯正装置(インビザライン)は医薬品医療機器等法(薬機法)の承認を受けていない未承認医薬品です。
・マウスピース型矯正装置(インビザライン)は米国アライン・テクノロジー社の製品であり、インビザライン・ジャパン株式会社を介して入手しています。
・国内にもマウスピース型矯正装置として医薬品医療機器等法(薬機法)の承認を受けているものは複数存在します。
・マウスピース型矯正装置(インビザライン)はFDA(米国食品医薬品局)により医療機器として認証を受けています。薬品副作用被害救済制度の対象外となる場合があります。
在宅時や就寝時の装置
(取りはずし式)
子供の治療で装置が見えると、周りにからかわれるのを心配されて、目立たない治療を希望される方が多いです。
その場合、在宅時や就寝時にのみ使用していただく装置もあります。
拡大床(ワイヤータイプ)
拡大床(ネジタイプ)
歯列矯正用咬合誘導装置
(T4K、K1)
(T4K、K1)
歯列矯正用咬合誘導装置
(ムーシールド)
(ムーシールド)
ヘッドギア
プロトラクター
FKO
固定タイプの装置
リンガルアーチ
クウォードヘリックス
(緩徐拡大装置)
(緩徐拡大装置)
急速拡大装置
